
뇌졸중은 빠른 진단과 치료가 생명을 좌우하는 질환입니다. 이 글에서는 뇌졸중의 검사방법, 검사 가능한 병원, 검사비용, 치료방법, 자가 테스트까지 상세히 안내해드립니다.



뇌졸중이란?
뇌졸중은 뇌혈관이 막히거나 터져서 뇌세포가 손상되는 질환입니다. 주로 뇌경색(혈관이 막힘)과 뇌출혈(혈관이 터짐)로 나뉘며, 빠른 진단과 치료가 중요합니다.



뇌졸중 검사방법
- CT(컴퓨터 단층촬영): 뇌출혈 여부를 빠르게 확인할 수 있습니다.
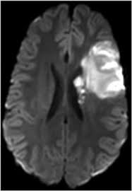
- MRI(자기공명영상): 뇌경색 등 세밀한 뇌조직 변화를 확인할 수 있습니다.
- MRA(자기공명혈관조영술): 뇌혈관의 이상을 확인합니다.
- 혈액검사: 혈당, 콜레스테롤 등 위험요인을 평가합니다.
- 심전도 및 심장초음파: 심장 질환 여부를 확인합니다.



뇌졸중 검사 가능한 병원
뇌졸중 검사는 다음과 같은 병원에서 가능합니다:
- 대학병원 및 종합병원: 신경과, 신경외과, 응급의학과에서 전문적인 검사와 치료를 제공합니다.
- 지역 보건소 및 건강검진센터: 기본적인 혈압, 혈당, 콜레스테롤 검사를 통해 위험요인을 평가할 수 있습니다.


뇌졸중 검사비용
검사비용은 병원과 검사 항목에 따라 다르지만, 일반적으로 다음과 같습니다:
- CT: 5만~15만 원
- MRI: 30만~70만 원
- MRA: 20만~50만 원
- 혈액검사: 1만~5만 원
건강보험 적용 여부와 병원에 따라 비용이 달라질 수 있으므로, 사전에 병원에 문의하시기 바랍니다.



종합보험 추천 가이드 | 보장범위, 비교사이트, 선택 팁 총정리
예상치 못한 질병이나 사고에 대비하기 위한 필수 안전망, 바로 종합보험입니다. 실손의료비부터 3대 질병(암·뇌·심장), 입원비, 수술비까지 보장하는 종합보험은 개인의 건강과 재무 안정을
abc.ben237.com
통합보험 조회 방법 | 내 모든 보험 한번에 조회하는 법
여러 보험에 가입해두었지만, 정확히 어떤 보험에 가입했는지 기억이 나지 않는 경우가 많습니다. 이런 때 필요한 것이 바로 통합보험 조회입니다. 통합보험 조회를 통해, 현재 가입 중인 보험
abc.ben237.com
뇌졸중 치료방법
뇌졸중의 치료는 유형에 따라 다릅니다:
- 뇌경색: 혈전용해제 투여, 혈관확장술 등으로 혈류를 회복시킵니다.
- 뇌출혈: 수술적 제거, 혈압 조절 등을 통해 출혈을 관리합니다.
치료 후에는 재활치료를 통해 기능 회복을 도모합니다.


FAST 테스트로 자가 진단하기
뇌졸중의 초기 증상을 빠르게 확인하는 방법입니다:
- F (Face): 얼굴 한쪽이 처졌는지 확인합니다.
- A (Arms): 양팔을 들어올릴 수 있는지 확인합니다.
- S (Speech): 말이 어눌하거나 이상한지 확인합니다.
- T (Time): 위 증상이 있다면 즉시 119에 연락합니다.



뇌졸중 전조증상 총정리 (FAST 검사법)
뇌졸중은 한순간에 생명을 위협하는 중대한 질환입니다. 그러나 많은 경우 발병 전 뚜렷한 전조증상이 나타나므로, 이를 미리 알고 대처하면 심각한 후유증이나 사망을 예방할 수 있습니다. 이
abc.ben237.com
뇌졸중 조기 발견이 중요합니다.
뇌졸중은 빠른 진단과 치료가 생명을 구할 수 있습니다. 위에서 소개한 검사방법과 자가 테스트를 통해 조기에 발견하고, 전문 병원에서 정확한 진단과 치료를 받으시기 바랍니다.



※ 이 글은 참고용 정보이며, 이상 증상이 있을 경우 반드시 전문 의료진과 상담하시기 바랍니다.